Name:
António
António
Age:
17
17
About the Treatment:
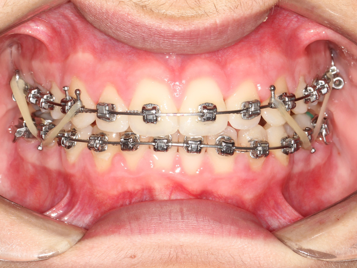
Antonio was treated in 2 phases .In phase 1 he was treated with a twin block removable appliance for mandibular advancement and in Phase 2 with Damon System Self-Ligating metal brackets and Forsus- mandibular advancement device.
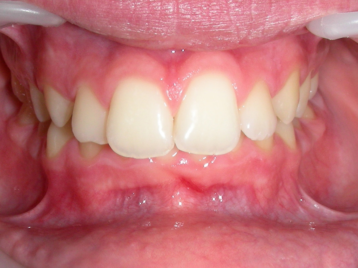
His major problem was orthopedic, with a very retruded mandible.
Antonio was treated in 2 phases .In phase 1 he was treated with a twin block removable appliance for mandibular advancement and in Phase 2 with Damon System Self-Ligating metal brackets and Forsus- mandibular advancement device.
His major problem was orthopedic, with a very retruded mandible.
By directing his mandibular growth we achieved a stunning result.
Antonio has a truly WOW! Smile!









Send us an email