Name:
Beatriz
Beatriz
Age:
15
15
About the Treatment:
Beatriz? What can i say that her lovely face and smile don’t say already?
She is absolutely beautiful. Beatriz is a natural in front of the cameras! Our Photographer loved her, as well as Mar and Diana! I am really lucky to have such beautiful patients!
Beatriz? What can i say that her lovely face and smile don’t say already?
She is absolutely beautiful. Beatriz is a natural in front of the cameras! Our Photographer loved her, as well as Mar and Diana! I am really lucky to have such beautiful patients!
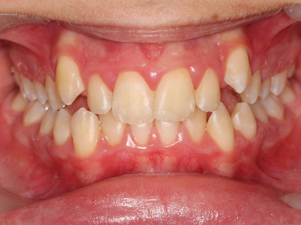
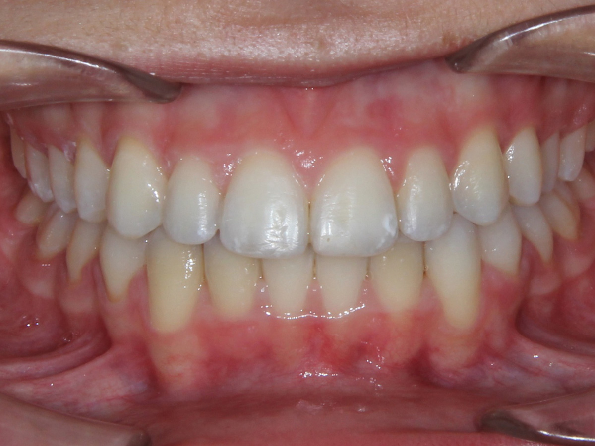
Beatriz was treated with Insignia Digital Customized Self-Ligating Appliance and thermal wires. She had severe crowding with blocked out cuspids. Again we did not want to extract!
Our moto is “extract for the beauty of the face if you have to,not for the space”. We cannot ruin a kids face just to make space for their teeth!We have to see whats best for the facial esthetics.









Send us an email