Name:
Diana
Diana
Age:
13
13
About the Treatment:
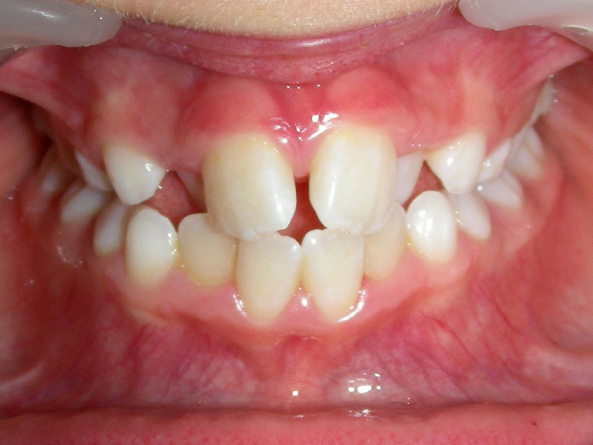
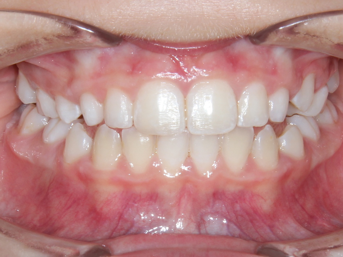
Diana! One more beautiful incredible girl! She is Maria do Mar’s sister! I love to treat the whole family! Diana was treated with the Damon Self Ligating Brackets D-Gainer system. Isn’t it amazing all the space we gained? Isn’t it amazing how her face changed? It’s almost magic!
The magic of orthodontics can give you the magic of a WOW! SMILE! This is why phase 1 treatments are so important! Diana is now ready for phase 2. Because she wore her retainers properly as she was told her teeth are just perfectly in place!
Diana! One more beautiful incredible girl! She is Maria do Mar’s sister! I love to treat the whole family! Diana was treated with the Damon Self Ligating Brackets D-Gainer system. Isn’t it amazing all the space we gained? Isn’t it amazing how her face changed? It’s almost magic!
The magic of orthodontics can give you the magic of a WOW! SMILE! This is why phase 1 treatments are so important! Diana is now ready for phase 2. Because she wore her retainers properly as she was told her teeth are just perfectly in place!











Send us an email