Name:
Henrique
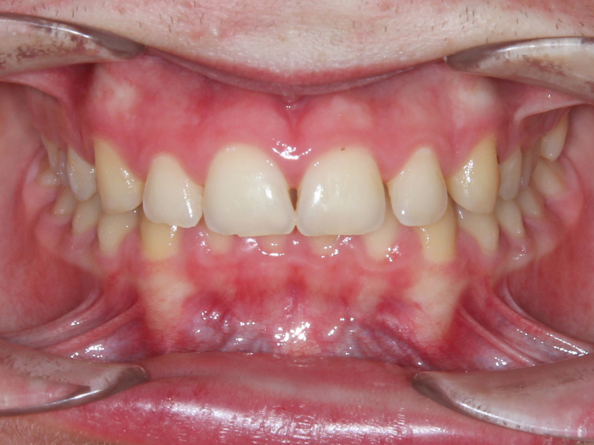
Henrique
Age:
16
16
About the Treatment:
Henrique has a sad orthodontic story but it will have a happy ending!
When Henrique came to my practice e he had been wearing braces for 4 years!Mom thought that something was wrong with his treatment and came to me for a second opinion.
I told Mom and Henrique that i had to remove everything and start over! They where shocked! I also told them that i would treat him in 1,5 years at the most if he was compliant.
Henrique has a sad orthodontic story but it will have a happy ending!
When Henrique came to my practice e he had been wearing braces for 4 years!Mom thought that something was wrong with his treatment and came to me for a second opinion.
I told Mom and Henrique that i had to remove everything and start over! They where shocked! I also told them that i would treat him in 1,5 years at the most if he was compliant.
Now Henrique is being treated with the New 3 rd generation H4 Self-Ligating Metal Injection One Piece Brackets and Thermal Pitts Archform wires with Smile Arc Protection Protocol.
He is doing really well with his treatment and his smile is coming through beautifully!








Send us an email