Name: Isabel
Age: 42
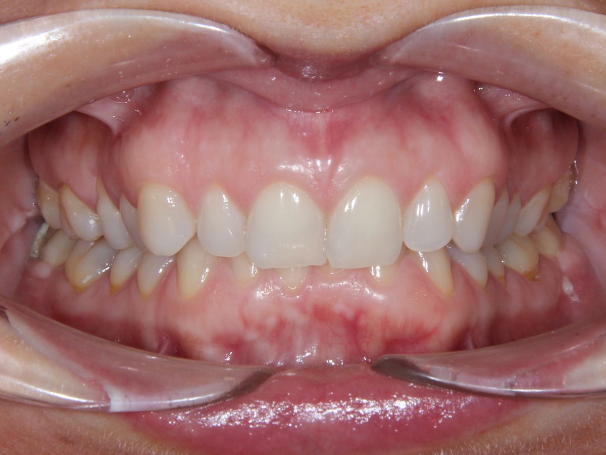
About the Treatment: Isabel is so nice and beautiful and just wonderful to be with! She is currently working in Switzerland. She came to me seeking Invisalign treatment because she really wanted something practically invisible and that would not interfere with her work life of busy meetings. She is now undergoing her orthodontic treatment and really happy with the results so far.







Send us an email