Name:
João
João
Age:
14
14
About the Treatment:
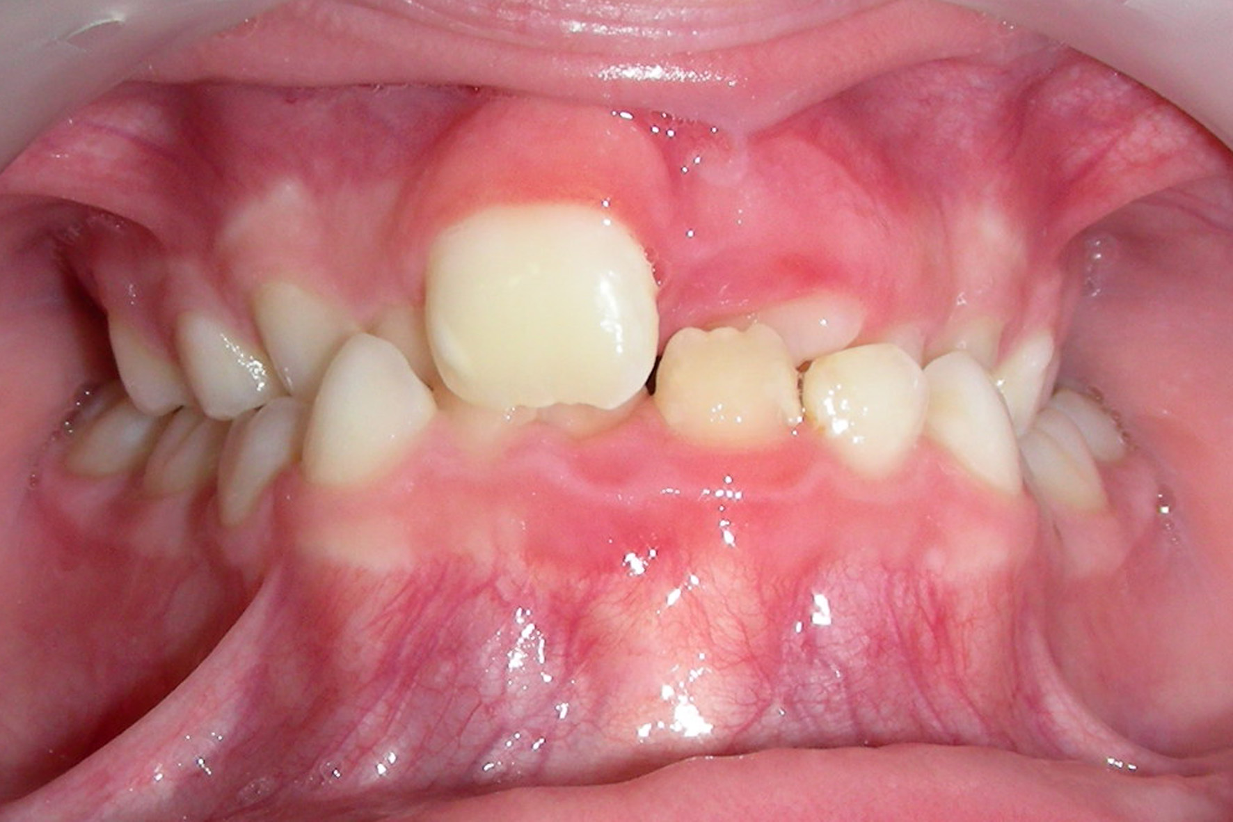
João is a sweet boy who came to me at age 6 with a terrible case of impacted teeth and, crowding and very narrow arches. It was a very difficult case.
I told the parents that i would try to treat him with self-ligating brackets and thermal wires but we would have to do 2 or 3 phases of treatment.
The parents agreed. They just wanted their child to smile!
Look at Joao now!! His smile is really coming through! He looks amazing! I think everything is worthwhile for a beautiful smile!
João is a sweet boy who came to me at age 6 with a terrible case of impacted teeth and, crowding and very narrow arches. It was a very difficult case.
I told the parents that i would try to treat him with self-ligating brackets and thermal wires but we would have to do 2 or 3 phases of treatment.
The parents agreed. They just wanted their child to smile!
Look at Joao now!! His smile is really coming through! He looks amazing! I think everything is worthwhile for a beautiful smile!












Send us an email