Name:
Leonor
Leonor
Age:
16
16
About the Treatment:
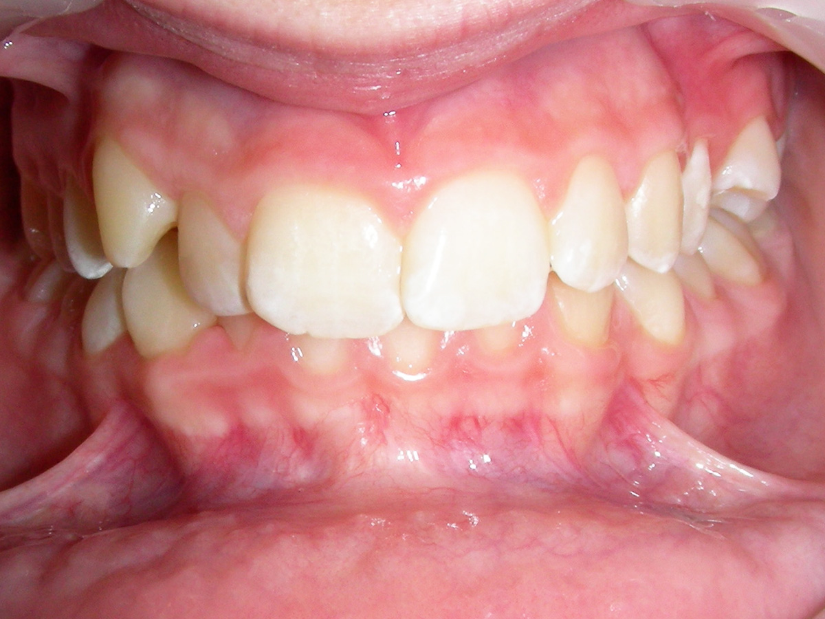
Leonor is a sweet, kind,beautiful girl. She was treated with Damon System Self-Ligating Brackets with thermal wires and Pitts Smile Arc Protection protocol technique. She was an absolutely amazing patient. So Obedient and compliant! She had crowding, a full class 2 and a reverse cross-bite on the left.
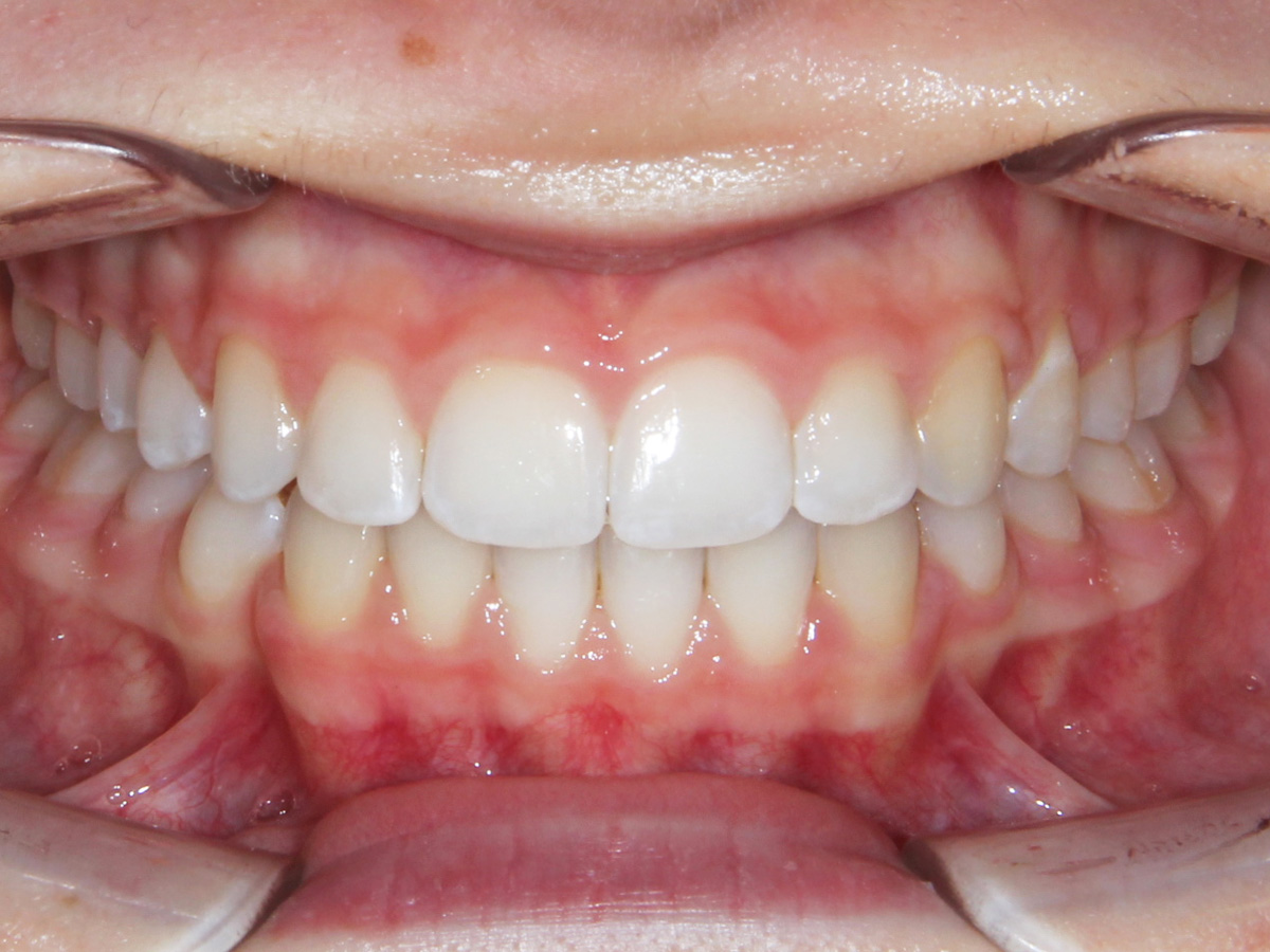
What can I say? Her smile says it all! It leaves me speechless!
Leonor is a sweet, kind,beautiful girl. She was treated with Damon System Self-Ligating Brackets with thermal wires and Pitts Smile Arc Protection protocol technique. She was an absolutely amazing patient. So Obedient and compliant! She had crowding, a full class 2 and a reverse cross-bite on the left.
What can I say? Her smile says it all! It leaves me speechless!









Send us an email