Name:
Mafalda
Mafalda
Age:
40
40
About the Treatment:
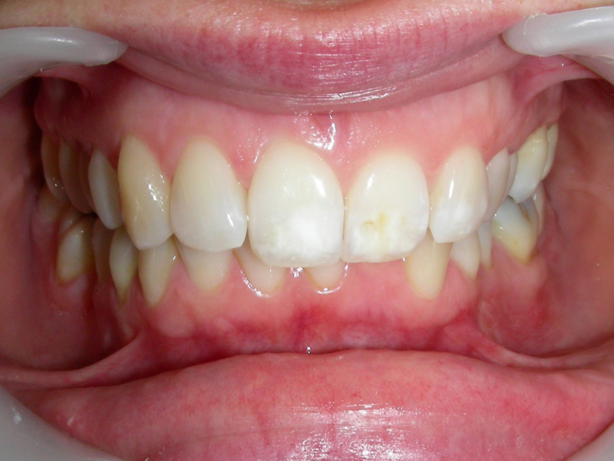
Mafalda is a beautiful mother of three. She did not like her smile and asked me if i could do something about it.
She had a big problem! Someone had pulled out her upper left cuspid. So thats why her whole upper arch shifted to the left.
The ideal treatment would have been to open the space and place an implant to replace the missing tooth.But, Mafalda did not want this. So we slowly shifted her arch to the right and “transformed” her 1st left bicuspid into a cuspid with composite and laser tissue remodelling.
She used Damon System Metal self-ligating brackets with thermal Pitts form DYB wires.
Mafalda is a beautiful mother of three. She did not like her smile and asked me if i could do something about it.
She had a big problem! Someone had pulled out her upper left cuspid. So thats why her whole upper arch shifted to the left.
The ideal treatment would have been to open the space and place an implant to replace the missing tooth.But, Mafalda did not want this. So we slowly shifted her arch to the right and “transformed” her 1st left bicuspid into a cuspid with composite and laser tissue remodelling.
She used Damon System Metal self-ligating brackets with thermal Pitts form DYB wires.
She looks simply amazing with her new smile!









Send us an email