Name:
Mafalda
Mafalda
Age:
16
16
About the Treatment:
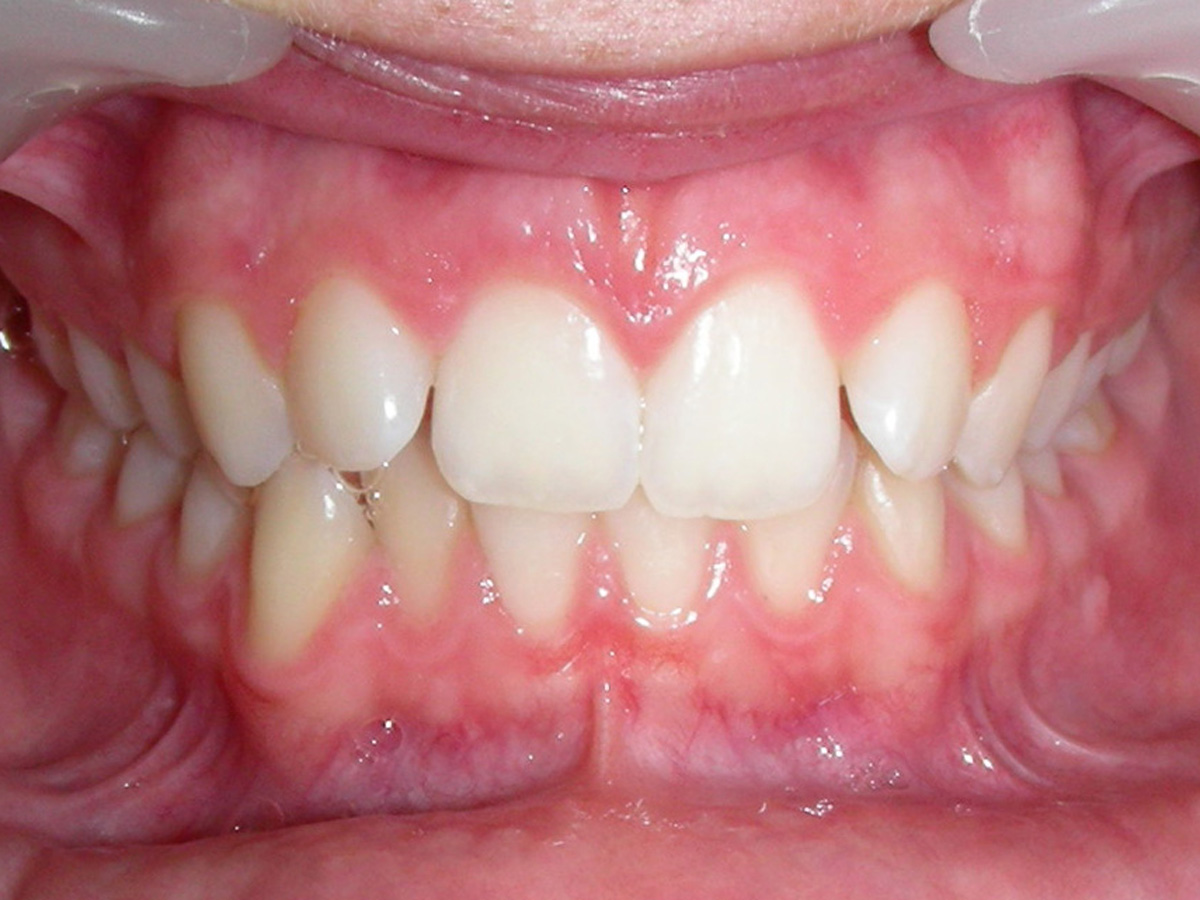
Mafalda is Mariana’s twin sister! She had some crowding and a overbite. She also used Damon self-ligating brackets and thermal wires. She was really good with her oral hygiene.
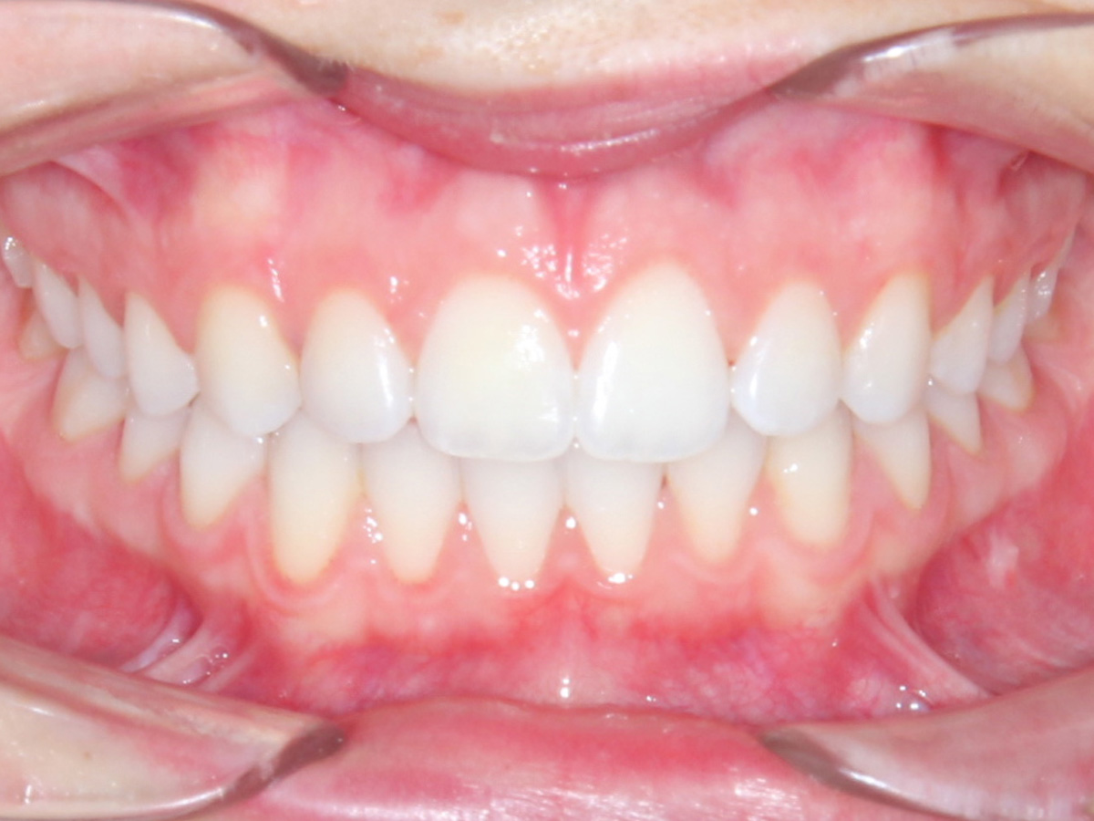
Look at her lovely smile! WOW!
Mafalda is Mariana’s twin sister! She had some crowding and a overbite. She also used Damon self-ligating brackets and thermal wires. She was really good with her oral hygiene.
Look at her lovely smile! WOW!









Send us an email