Name:
Maria do Mar
Maria do Mar
Age:
15
15
About the Treatment:
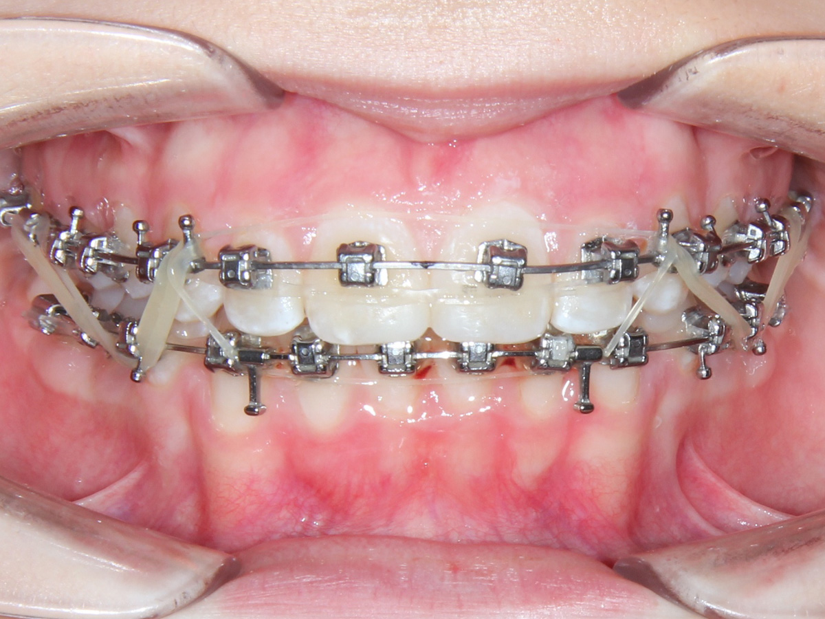
Maria do Mar used an Insignia Customized Digital Appliance with Metal Self-Ligating Brackets.
She was also treated with Smile Arc Protection Protocol and DYB wires with Pitts archform.
Mar was such a great and compliant patient with fantastic oral hygiene throughout treatment.
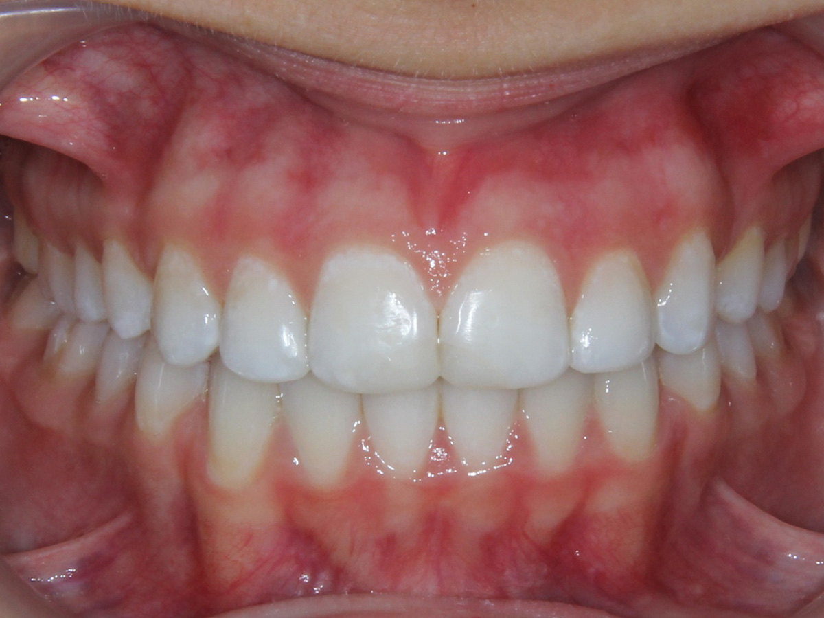
Her smile just glows and brightens the day !
Maria do Mar used an Insignia Customized Digital Appliance with Metal Self-Ligating Brackets.
She was also treated with Smile Arc Protection Protocol and DYB wires with Pitts archform.
Mar was such a great and compliant patient with fantastic oral hygiene throughout treatment.
Her smile just glows and brightens the day !









Send us an email