Name:
Mariana
Mariana
Age:
11
11
About the Treatment:
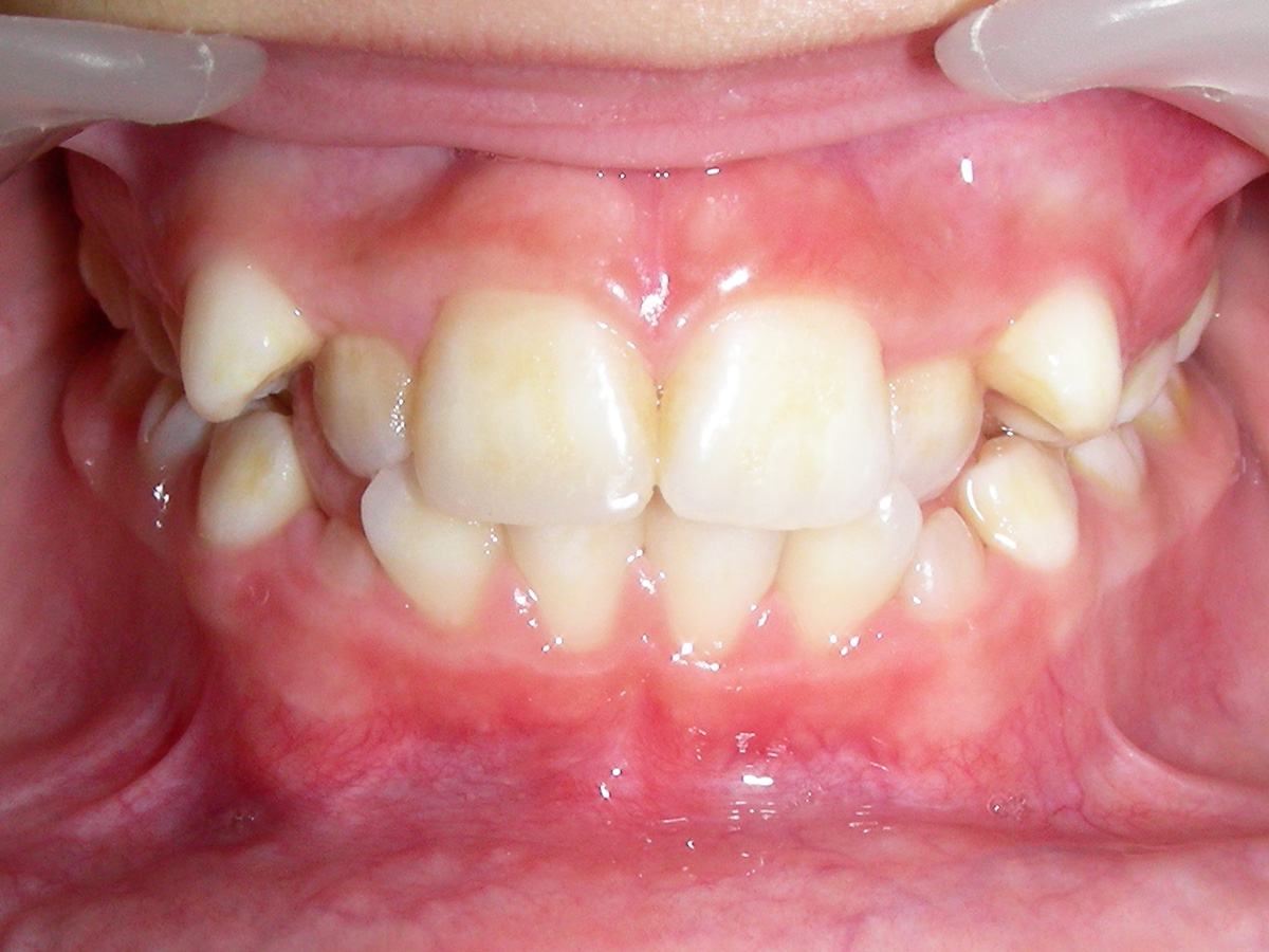
Mariana was treated with Damon System Self-Ligating Brackets with thermal wires and Smile Arc Protection protocol. She had some blocked out teeth and a very narrow arches.
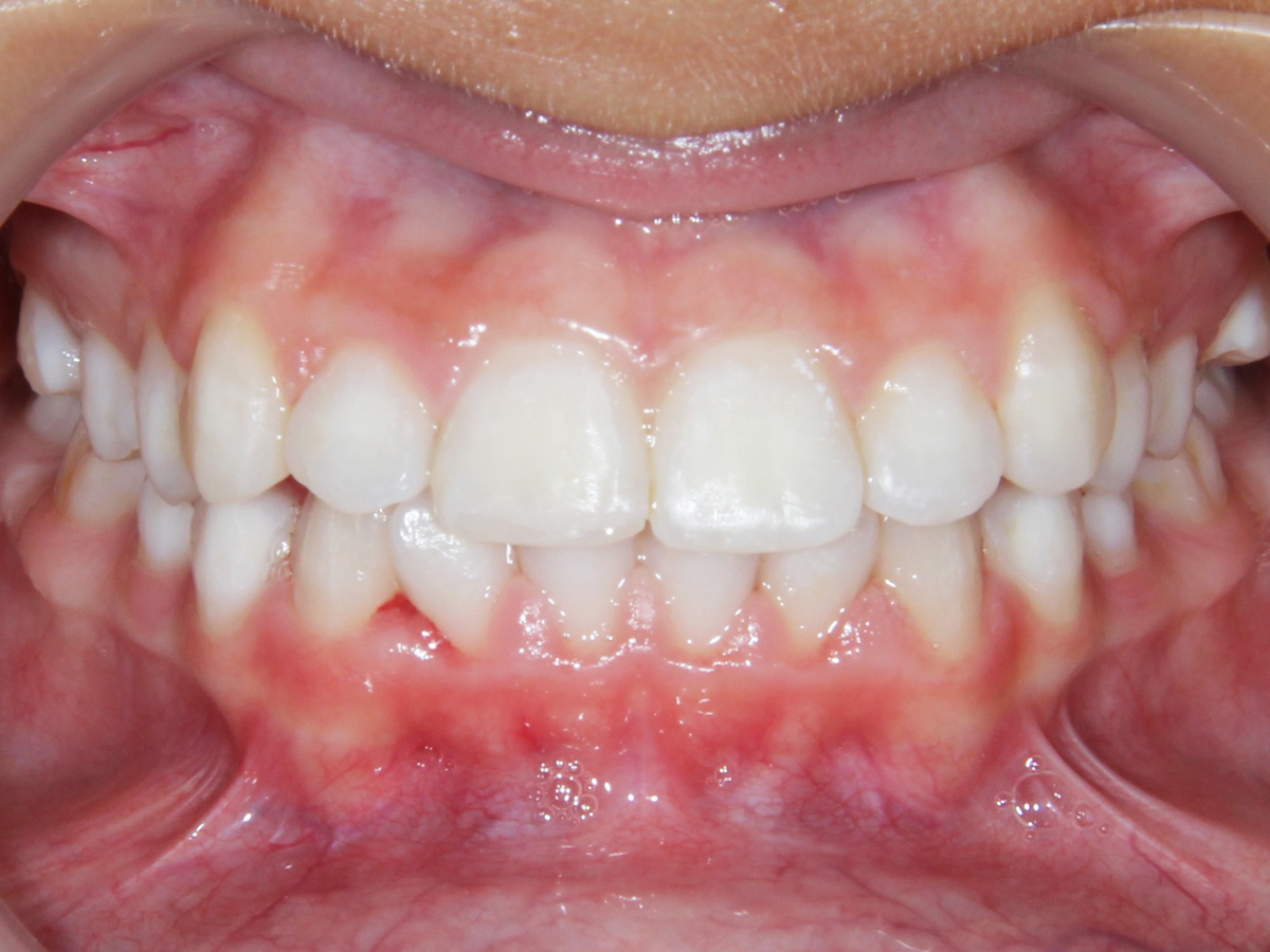
We really had to broaden her smile! Look at her now!
Mariana had some trouble brushing and flossing properly so she got some white spots on her teeth. Please brush, floss and watch our oral hygiene videos in “During Treatment” part of this website!
Mariana was treated with Damon System Self-Ligating Brackets with thermal wires and Smile Arc Protection protocol. She had some blocked out teeth and a very narrow arches.
We really had to broaden her smile! Look at her now!
Mariana had some trouble brushing and flossing properly so she got some white spots on her teeth. Please brush, floss and watch our oral hygiene videos in “During Treatment” part of this website!









Send us an email