Name:
Marta
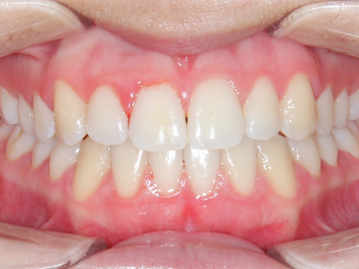
Marta
Age:
17
17
About the Treatment:
Marta is a beautiful young girl that was already treated about 4 years ago.
She should have had 2 phases of orthodontic treatment in order to make space for her permanent teeth.
It complicated her treatment a bit because she did not come in for phase 1. As a result she had some impacted teeth that we had to bring out surgically.
It was quite a difficult case to treat without extractions! She used a Damon System Self-Ligating Appliance with Thermal Wires.
Now Marta wears her retainers all the time and her smile has stayed beautiful!
Marta is a beautiful young girl that was already treated about 4 years ago.
She should have had 2 phases of orthodontic treatment in order to make space for her permanent teeth.
It complicated her treatment a bit because she did not come in for phase 1. As a result she had some impacted teeth that we had to bring out surgically.
It was quite a difficult case to treat without extractions! She used a Damon System Self-Ligating Appliance with Thermal Wires.
Now Marta wears her retainers all the time and her smile has stayed beautiful!









Send us an email