Name:
Monica
Monica
Age:
23
23
About the Treatment:
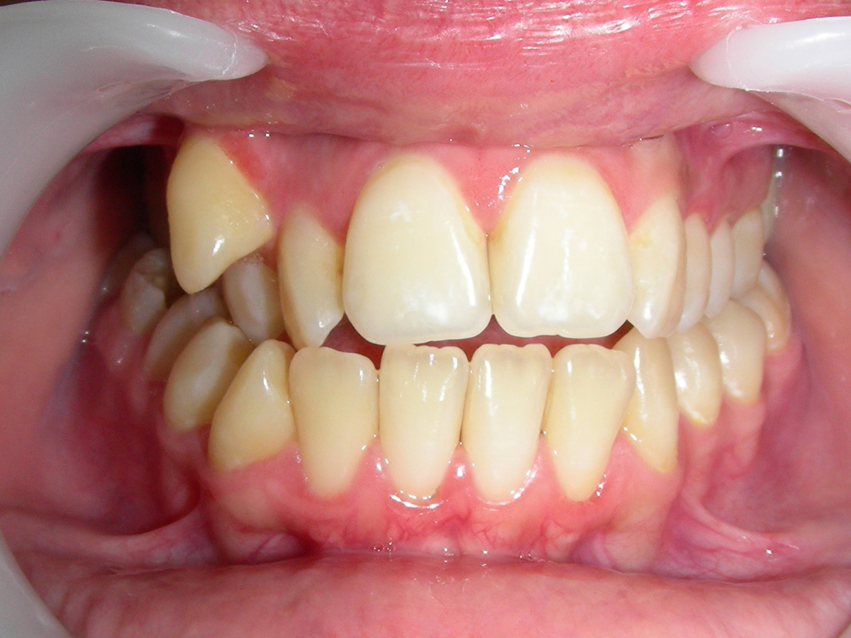
Monica is a young lady that serves in the army and wants to study to become a social assistant and help needy children.
Monica is a young lady that serves in the army and wants to study to become a social assistant and help needy children.
She had genetically impacted canines (like her mother and brother) and saved up for years to get orthodontic treatment. I had already treated her brother and she also wanted to be treated by me and my team. She had facial asymmetry and an extremely narrow upper arch that could have been corrected if she had done her Phase 1 treatment.
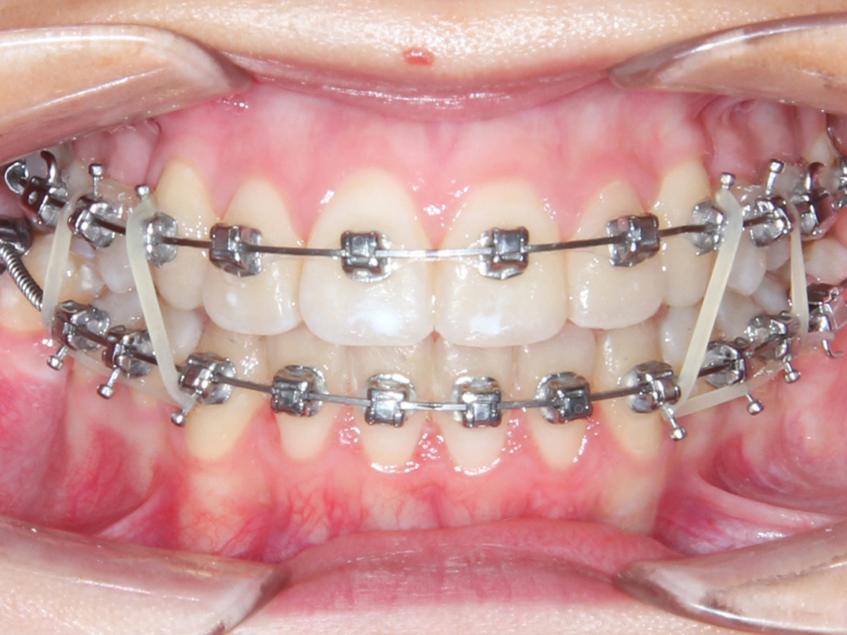
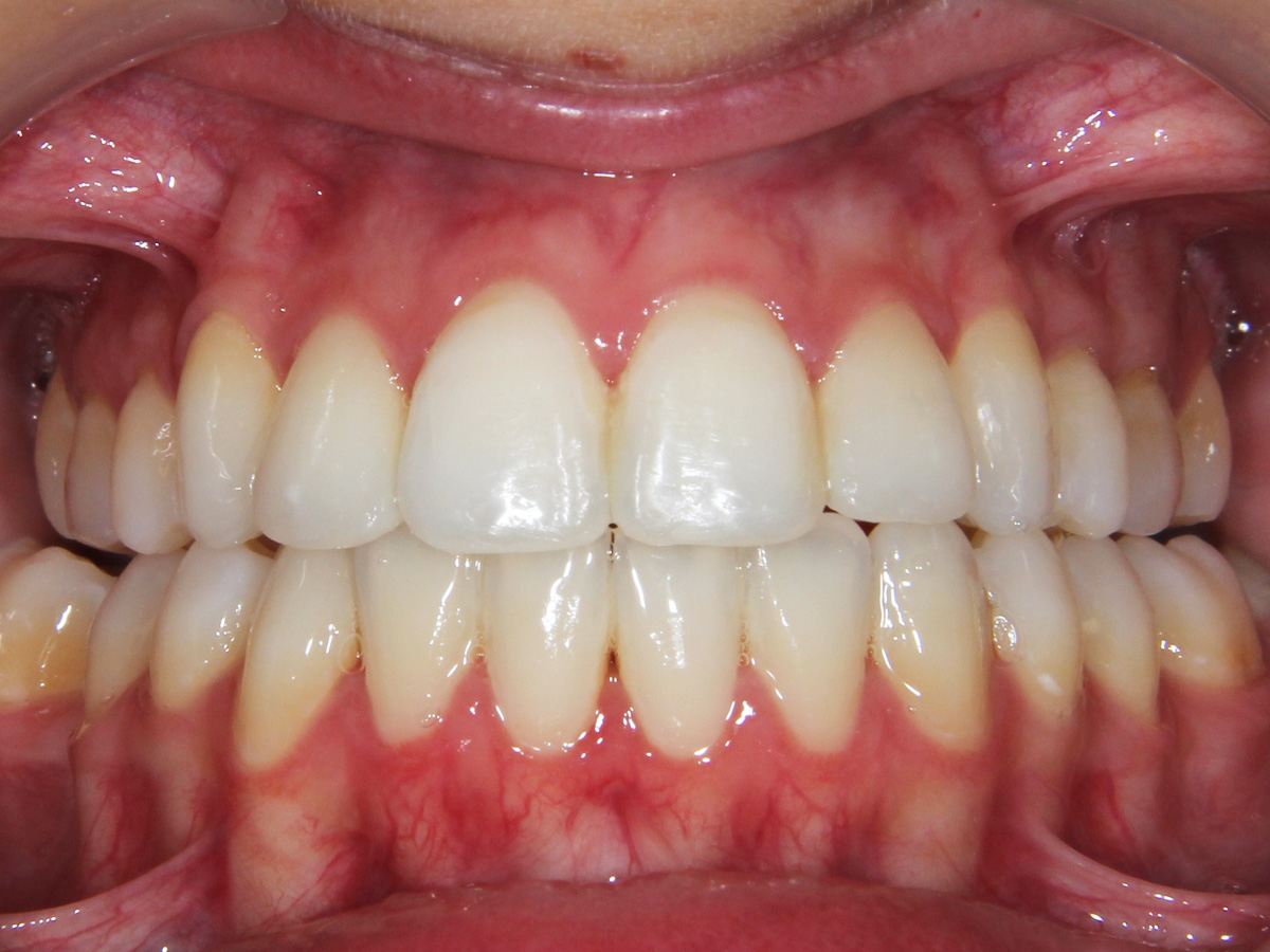
Monica was treated with 2 extractions and with Damon System Self-Ligating Brackets. Of course she was bonded with the Smile the Smile Arc Protection bonding protocol as taught by Dr.Tom Pitts. Her final result was absolutely amazing and her facial asymmetry got almost totally corrected.
She now does not hide her smile and really has a lot of self-confidence.










Send us an email