Name:
Nuno
Nuno
Age:
46
46
About the Treatment:
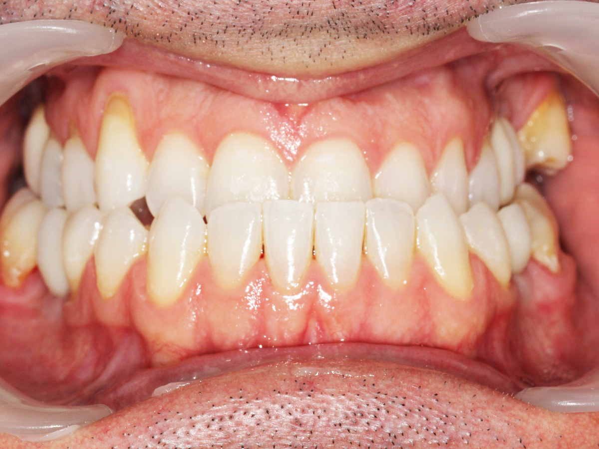
Nuno is a very special case. He truly is a surgical case with all the problems you can imagine. But…he simply refused to have surgery.
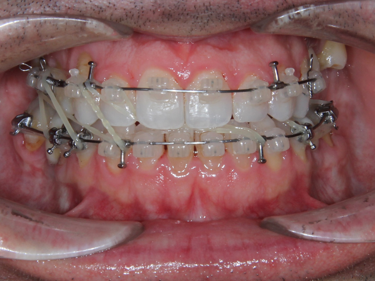
He already wore braces once as an adult but did not achieve a good result. So he gave up. When I studied the Pitts protocol with self-ligating brackets, Smile Arc Protection and special thermal wires I told him that I could treat him. Not to perfection but I could give him a nice smile and correct his underbite.
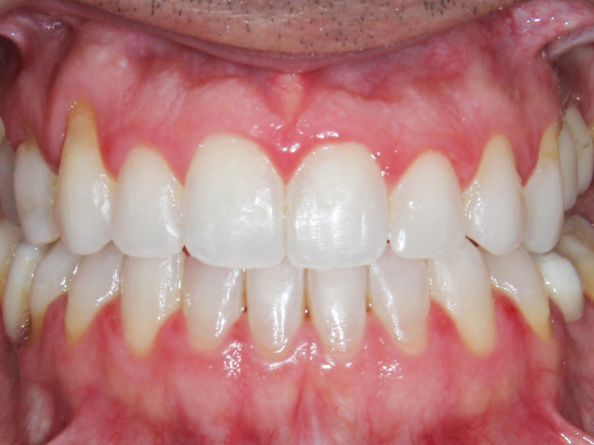
He used Damon Clear brackets and DYB wires. Look at his amazing smile now! WOW!
Nuno is a very special case. He truly is a surgical case with all the problems you can imagine. But…he simply refused to have surgery.
He already wore braces once as an adult but did not achieve a good result. So he gave up. When I studied the Pitts protocol with self-ligating brackets, Smile Arc Protection and special thermal wires I told him that I could treat him. Not to perfection but I could give him a nice smile and correct his underbite.
He used Damon Clear brackets and DYB wires. Look at his amazing smile now! WOW!









Send us an email