Name:
Piers
Piers
Age:
16
16
About the Treatment:
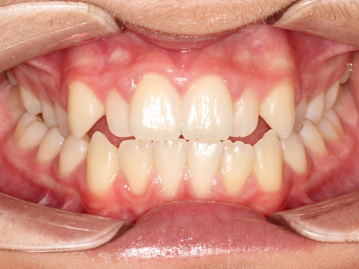
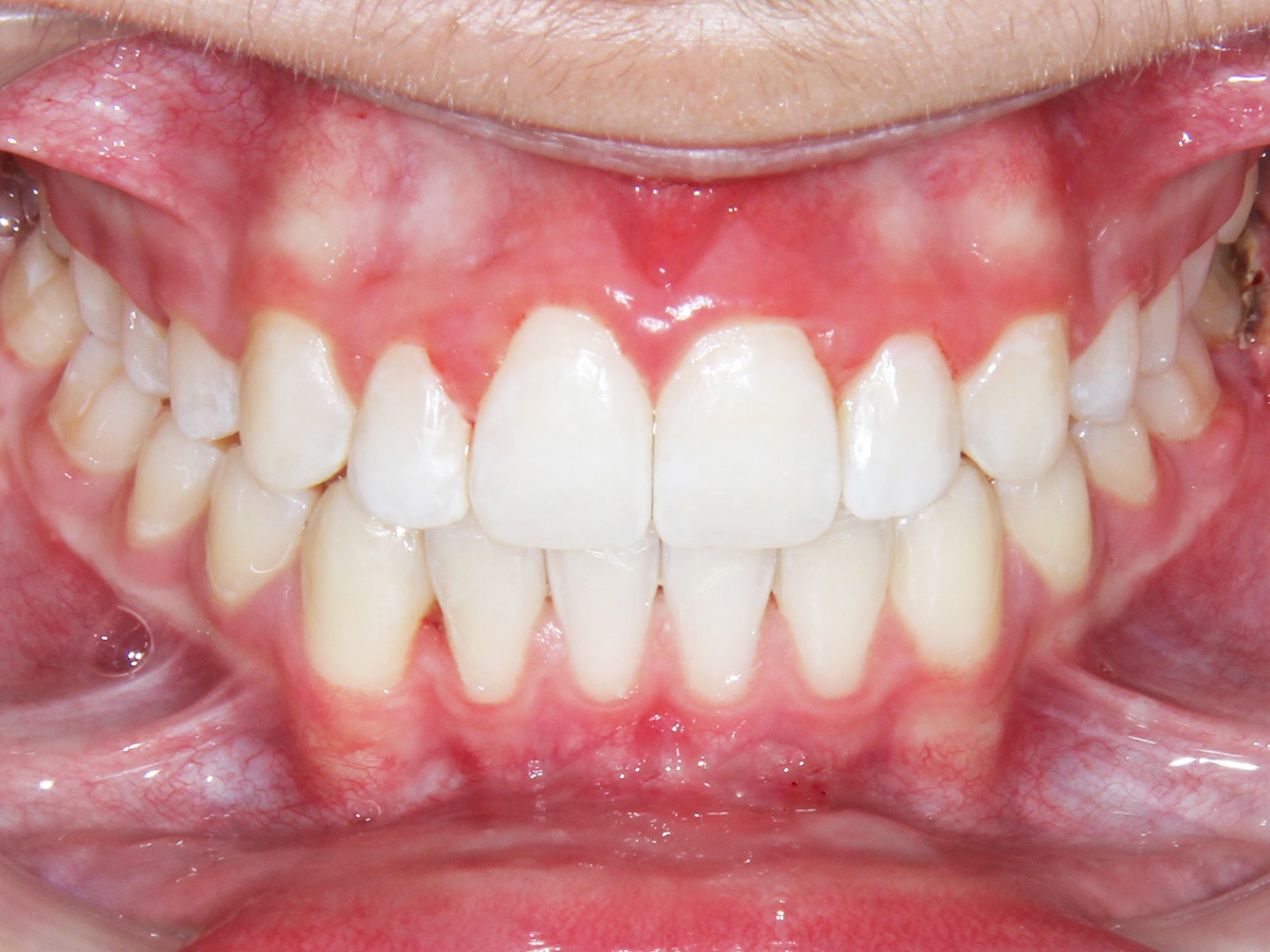
Piers is a handsome English/Australian boy who used an Insignia Customized Digital Appliance with Metal Self-Ligating Brackets.
His parents chose this technique because in their words “it combines the best of digital technology with your expertise and we want the best for our son”.
His parents came to me because other orthodontists wanted to wait and treat him surgically when his growth was over. Although surgical treatment is always an option we like to try self-ligating orthodontics with the Pitts SAP protocol and Super Thermal wires first to see what we can achieve.
We got a great result with Piers! He certainly has a WOW SMILE!
Piers is a handsome English/Australian boy who used an Insignia Customized Digital Appliance with Metal Self-Ligating Brackets.
His parents chose this technique because in their words “it combines the best of digital technology with your expertise and we want the best for our son”.
His parents came to me because other orthodontists wanted to wait and treat him surgically when his growth was over. Although surgical treatment is always an option we like to try self-ligating orthodontics with the Pitts SAP protocol and Super Thermal wires first to see what we can achieve.
We got a great result with Piers! He certainly has a WOW SMILE!










Send us an email