Name:
Rafael
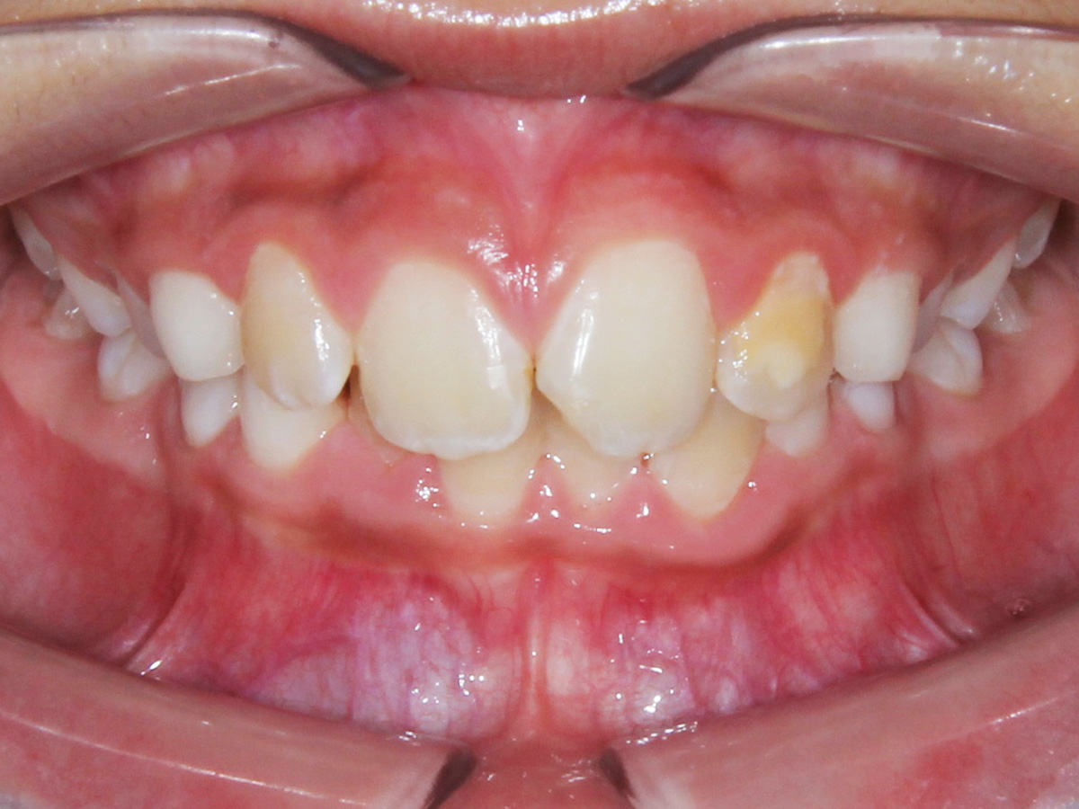
Rafael
Age:
10
10
About the Treatment:
Rafael is in Phase 1 treatment, using the new H4 MIM technology del-ligating bracket with Pitts Archform thermal super elastic wires.
With the special bracket positioning, teeth recontouring and adding for bioesthetics, he is looking amazing in just 6 months!
He wears his casse 2 elastics full-time for orthopedic correction and to finish faster. Phase 1 treatments lasts from 9 to 12 months.
Rafael can smile confidently and his jaw can grow in the right direction now! When all his permanent test are erupted he can have a much easier and shorter phase 2 treatment!
Rafael is in Phase 1 treatment, using the new H4 MIM technology del-ligating bracket with Pitts Archform thermal super elastic wires.
With the special bracket positioning, teeth recontouring and adding for bioesthetics, he is looking amazing in just 6 months!
He wears his casse 2 elastics full-time for orthopedic correction and to finish faster. Phase 1 treatments lasts from 9 to 12 months.
Rafael can smile confidently and his jaw can grow in the right direction now! When all his permanent test are erupted he can have a much easier and shorter phase 2 treatment!









Send us an email