Name:
Sofia
Sofia
Age:
15
15
About the Treatment:
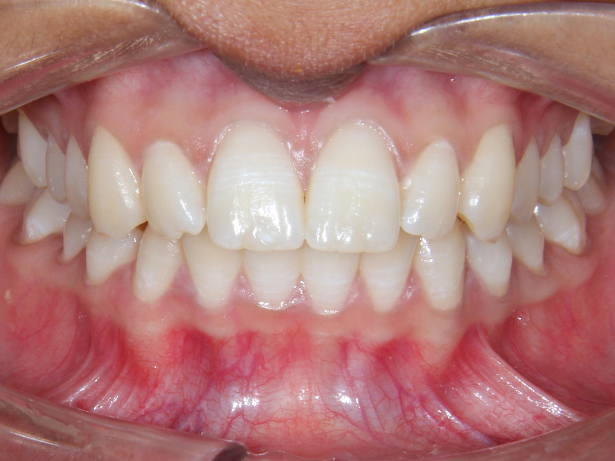
Sofia is a beautiful quiet girl. She is actually my cousin Sheleen’s daughter.
Sofia is a beautiful quiet girl. She is actually my cousin Sheleen’s daughter.
She is a brilliant student and is going to pursue her IB studies in England this year. She wants to become a doctor.
Sofia thought her teeth were “sticking out a bit” and wanted to have orthodontic treatment but did not want to extract teeth.
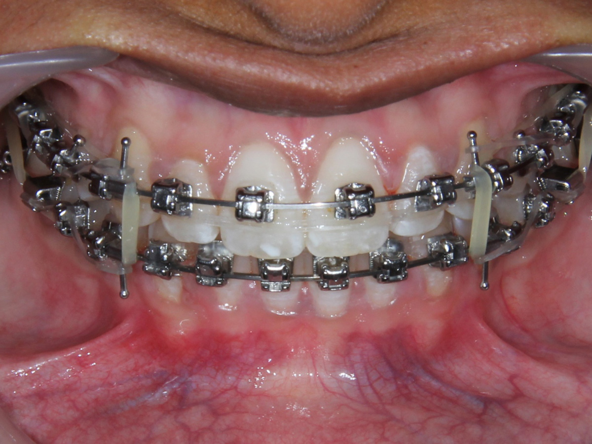
She is using an Insignia Customized Digital Orthodontic Appliance, Smile Arc Protocol Bonding and Thermal Archwires. I managed to create space by using selective IPR and broadening her arches so she can have a nice wide smile. She has such beautiful teeth that when her orthodontic treatment is done her smile will light up everybodies day!








Send us an email