Name:
Joaquim
Joaquim
Age:
25
25
About the Treatment:
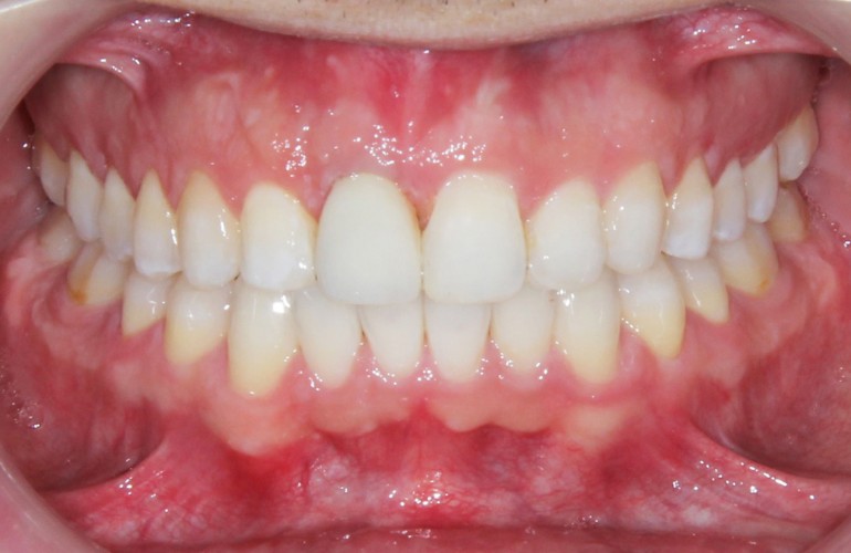
Joaquim is a young Engineer who had fractured his front tooth some years ago. His tooth was just glued to the others in a splint. When he came to see me his splint had fractures and he had a cyst around the remaining portion of his root that was still in the bone.
Joaquim is a young Engineer who had fractured his front tooth some years ago. His tooth was just glued to the others in a splint. When he came to see me his splint had fractures and he had a cyst around the remaining portion of his root that was still in the bone.
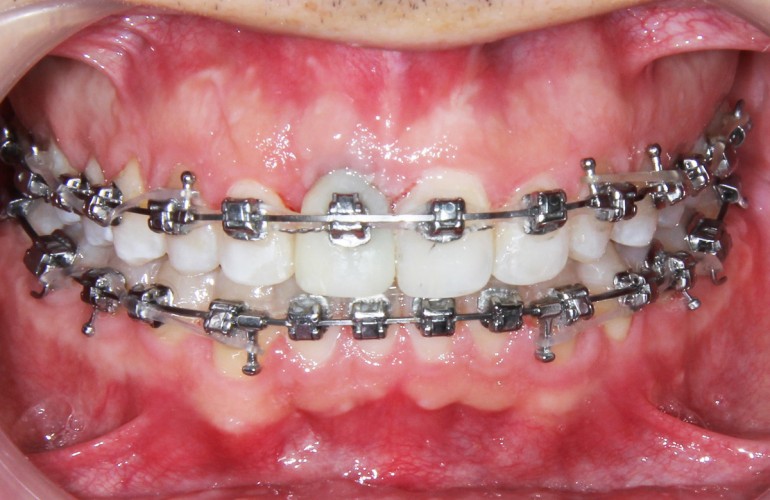
There was only one solution…we had to extract the root, remove the root, do a bone graft and put in a implant. Joaquim decided to have his orthodontic treatment done as well. So we had to make a “ghost tooth “ to occupy the space of his lost tooth during the whole treatment. It was very challenging to treat this case and I could not have done it without his help and the help of my team.
Joaquim was treated as all my new patients since 2007 with self-ligatng brackets and thermal wires. Joaquim was an outstanding patent and went through a lot.
Finally in 1,5 years we achieved an amazing, wonderful result! He now has a super WOW! Smile!
Send us an email