Name:
Leonardo
Leonardo
Age:
11
11
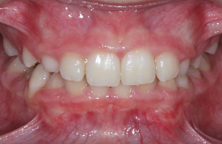
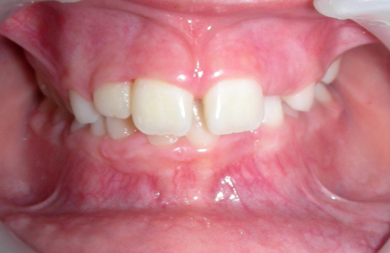
About the Treatment:
Leo is a sweet little German – Italian boy. I first saw him when he was 3 years old! I treated his mother and his brothers.
His mother Susanne, brought him to me for phase 1 treatment because his lower teeth were really crowded. She thought she was moving away from Portugal and really wanted me to treat Leo before they left. Leo was treated with a D-Gainer with self-ligating Damon metal brackets.
He is really proud of his smile!
Leo is a sweet little German – Italian boy. I first saw him when he was 3 years old! I treated his mother and his brothers.
His mother Susanne, brought him to me for phase 1 treatment because his lower teeth were really crowded. She thought she was moving away from Portugal and really wanted me to treat Leo before they left. Leo was treated with a D-Gainer with self-ligating Damon metal brackets.
He is really proud of his smile!
Send us an email