Name:
Miguel
Miguel
Age:
15
15
About the Treatment:
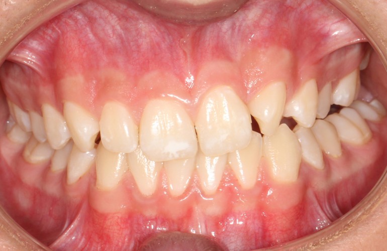
I know Miguel since he was 6! When he was 8 years old he had an unfortunate bike accident and his upper lateral got fractured in 2 right up to the root and had to be removed! It was heartbreaking. I promised his Mom, Sofia, that when the time was right I would treat him and give him a beautiful smile.
I know Miguel since he was 6! When he was 8 years old he had an unfortunate bike accident and his upper lateral got fractured in 2 right up to the root and had to be removed! It was heartbreaking. I promised his Mom, Sofia, that when the time was right I would treat him and give him a beautiful smile.
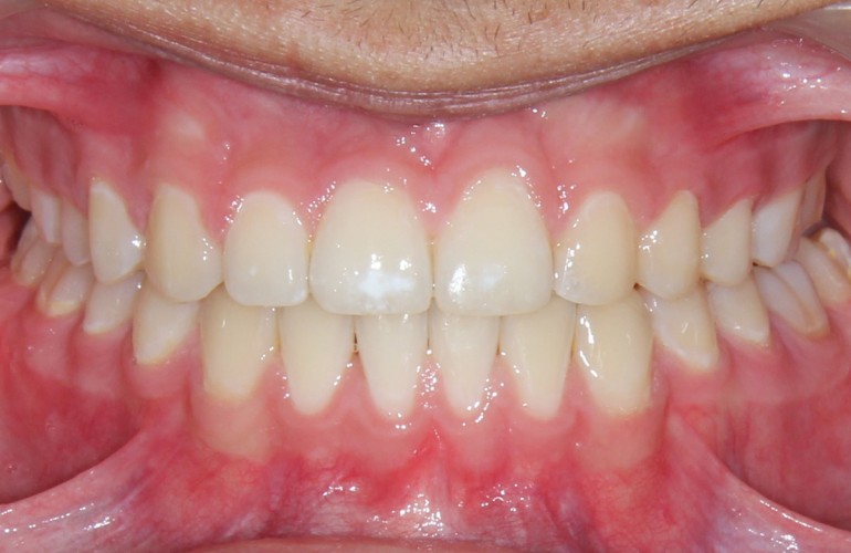
So, I did. Since he was very young, I did not want to open the space for an implant to replace the missing tooth. I opted for a “substitution treatment” where I transformed the canine into the missing front tooth and the pre-molar into the canine. He looks amazing and no one can tell the difference.
I really love his smile and so does he!!!
Send us an email